Dentist in Crown Point IN

Smile Gallery

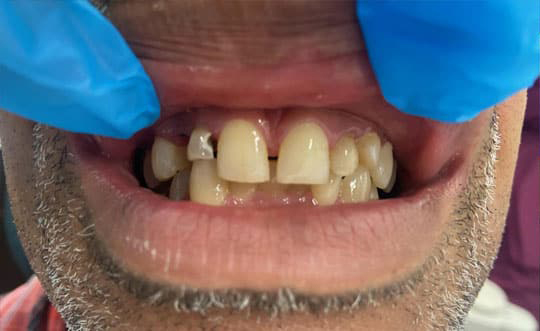
Below is one example of a full mouth reconstruction case done by Dr. Marianthi

Crown Point Smiles | Invisalign reg , Extractions and Emergency Treatment
Crown Point Smiles | Dental Fillings, Laser Dentistry and Teeth Whitening

Before

Crown Point Smiles | Oral Exams, Extractions and Digital Impressions

After

Emergency Dentist Crown Point IN

Before

Pediatric Dentist Crown Point IN

After

Crown Point IN Cosmetic Dentist

Before

Dental Office in Crown Point IN

After

Crown Point IN Cosmetic Dentist

Before

Dentist in Crown Point IN

After

Dental Office in Crown Point IN

Before

Emergency Dentist Crown Point IN

After

CEREC Dentist Crown Point IN

Before

Cosmetic Dental Office 46307

After

Dentist in Crown Point IN

Before

Family Dentist in Crown Point IN

After

Contact Us

Submit

Thank You!

We appreciate you taking the time to visit our site. We'll review your message and be in touch with you soon.

Continue
CEREC Dentist Crown Point IN

Explore More

Get in Touch

Address:

1192 North Main Street, Crown Point, IN 46307

Hours of Operation

Monday
9:00 am - 6:00 pm
Tuesday
10:00 am - 7:00 pm
Wednesday
8:00 am - 5:00 pm
Thursday
9:00 am - 6:00 pm
Friday
9:00 am - 4:00 pm*
Saturday
9:00 am - 3:00 pm*
*Every other